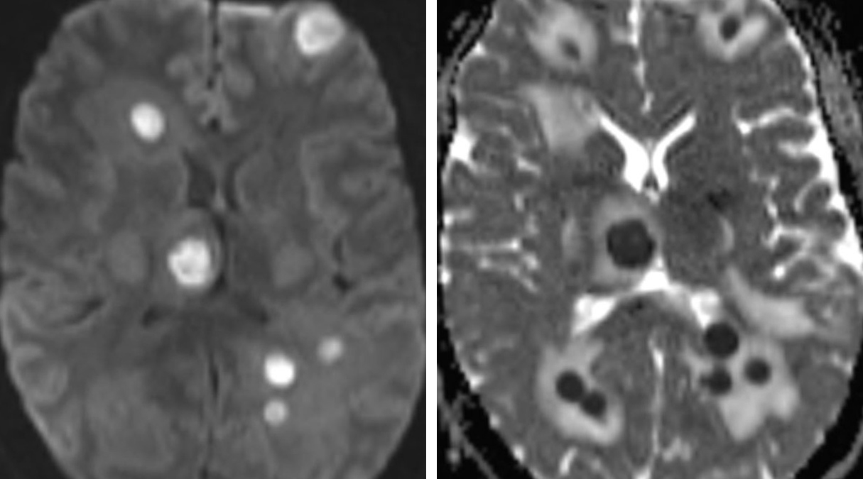
Cerebritis/Abscess | Cohen Collection | Volumes | The Neurosurgical Atlas